Cosmetología Dental / Diseño de Sonrisas
Carillas Cosméticas
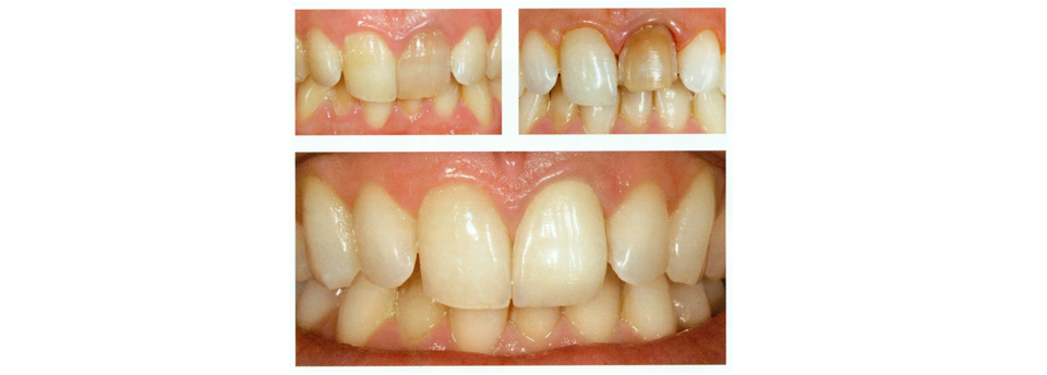
No hay ninguna razón para tener que tolerar con huecos entre los dientes o con dientes que están manchados, descoloridos, mal moldeados, astillados o torcidos. Hoy en día, una carilla puesta sobre su diente puede corregir un error de la naturaleza o por el resultado de un accidente y ayudarlo a que tenga una hermosa sonrisa. Las carillas son una solución muy popular entre los pacientes de odontología por su parecido en la apariencia dental. Haga click aquí para obtener más información sobre estas opciones.
HAGA UN CITA




