Inicio
Servicios
Odontología Familiar
Odontología Periodontal “Encías”
Odontología Cosmética/Sonrisas
Blanqueamiento de Dientes
Implantes Dentales
Dentaduras Postizas/Parciales
Odontalgía Quirúrgica
Odontopediatría
Sobre Nosotros
El Equipo
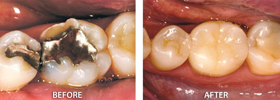
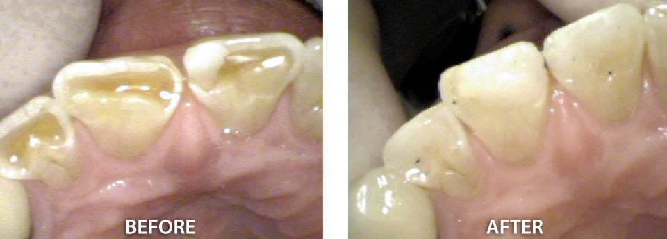
Fotos de Antes y Después
Seguro
Blog
Citas
Contacto
English
Fotos de Antes y Después
HAGA UN CITA