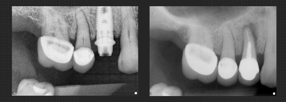
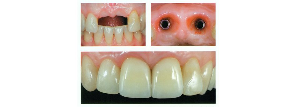
Dental Implants
Missing teeth can be a nuisance, both cosmetically and functionally; you may feel self-conscious about a gap in your smile, and that gap will almost certainly cause problems with biting and chewing. While there are several procedures dentists use to fill in gaps left by missing teeth, dental implants are by far the most natural-seeming in form and function. A dental implant is nearly indistinguishable from a natural tooth and can last a lifetime with proper maintenance. Click here to find out more.
MAKE AN APPOINTMENT




