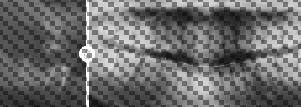
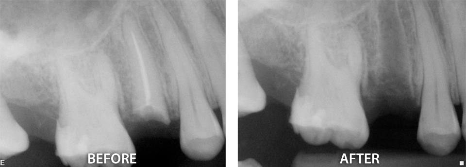
Surgical Dentistry
Our office offers a variety of surgical procedures designed to improve oral health and eliminate pain. We help with extractions of impacted wisdom teeth and retained “baby” teeth that are in the way of erupting permanent teeth. Other treatments include removal of excess or swollen gums around erupted or partially erupted teeth and elimination of problem tissue causing periodontal problems. In those cases where the complexity dictates, we have teamed up with surgery specialists that help us make procedures smooth and easy. Click here to find out more.
MAKE AN APPOINTMENT




